Mild cognitive impairment is a condition marked by noticeable changes in thinking abilities that are greater than expected for normal aging but not severe enough to significantly interfere with daily life or independent function. People with mild cognitive impairment may have problems with memory, language, attention, or decision-making while still being able to manage most everyday activities. Mild cognitive impairment …
Migraine with Aura
Migraine with aura is a type of migraine in which headache attacks are preceded or accompanied by temporary neurological symptoms known as an aura. These symptoms usually develop gradually and are fully reversible. Migraine with aura is a neurological condition involving changes in brain activity that affect vision, sensation, speech, or movement. The aura phase typically occurs before the headache …
Microcephaly
Microcephaly is a neurological condition in which a person’s head size is significantly smaller than expected for age and sex. It usually reflects abnormal brain development during pregnancy or early infancy. Microcephaly can be present at birth or develop within the first few years of life as the brain fails to grow at a normal rate. The condition ranges from …
Monoclonal Gammopathy of Undetermined Significance (MGUS)
Monoclonal gammopathy of undetermined significance is a condition in which an abnormal protein, known as a monoclonal protein or M protein, is found in the blood. This protein is produced by a small number of abnormal plasma cells in the bone marrow. MGUS itself is not cancer and often does not cause symptoms or health problems. MGUS is usually discovered …
Myasthenia Gravis
Myasthenia gravis is a chronic autoimmune neuromuscular disorder that causes weakness in voluntary muscles. It occurs when communication between nerves and muscles is disrupted, leading to muscle fatigue that worsens with activity and improves with rest. Muscles that control eye and eyelid movement, facial expression, chewing, swallowing, and speaking are commonly affected. The condition can affect people of any age, …
MRSA Infection
MRSA infection is caused by methicillin-resistant Staphylococcus aureus, a type of bacteria that has become resistant to many commonly used antibiotics. These infections can occur on the skin or, in more serious cases, inside the body affecting the lungs, bloodstream, or surgical wounds. MRSA can spread in healthcare settings as well as in the community. While some infections are mild …
Metatarsalgia
Metatarsalgia is a condition characterized by pain and inflammation in the ball of the foot, the area just behind the toes. It commonly occurs when excessive pressure is placed on the metatarsal bones, which play a key role in supporting body weight during walking, running, and standing. Metatarsalgia is not a disease itself but a symptom of underlying foot stress …
Stage 4 Prostate Cancer
Stage 4 prostate cancer is the most advanced stage of prostate cancer, in which the cancer has spread beyond the prostate gland to distant parts of the body. This spread, known as metastasis, commonly involves the bones, lymph nodes, lungs, or liver. At this stage, the disease is considered advanced and typically not curable, but it is often treatable. The …
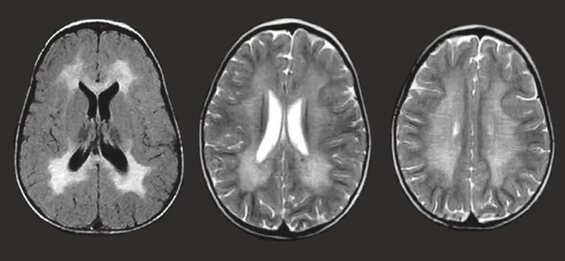
Metachromatic Leukodystrophy
Metachromatic leukodystrophy is a rare inherited metabolic disorder that affects the nervous system. It is caused by a deficiency of an enzyme needed to break down certain fatty substances in the body. As these substances accumulate, they damage the myelin sheath, the protective covering around nerve fibers in the brain, spinal cord, and peripheral nerves. The disease is progressive and …
Mesenteric Ischemia
Mesenteric ischemia is a serious medical condition that occurs when there is reduced or blocked blood flow to the intestines. This lack of adequate blood supply can damage intestinal tissue and may become life-threatening if not treated promptly. Mesenteric ischemia can develop suddenly as an acute emergency or progress slowly as a chronic condition, depending on the underlying cause. Symptoms …









